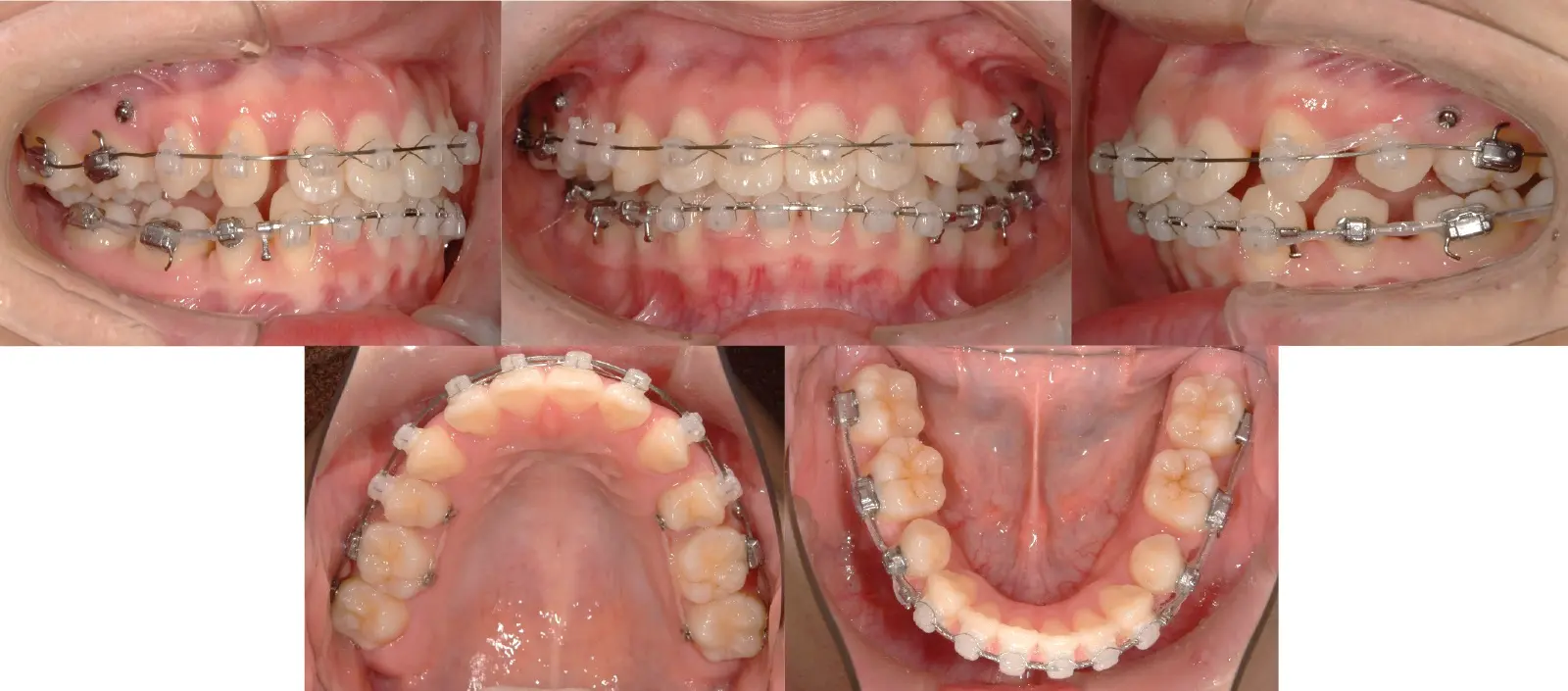
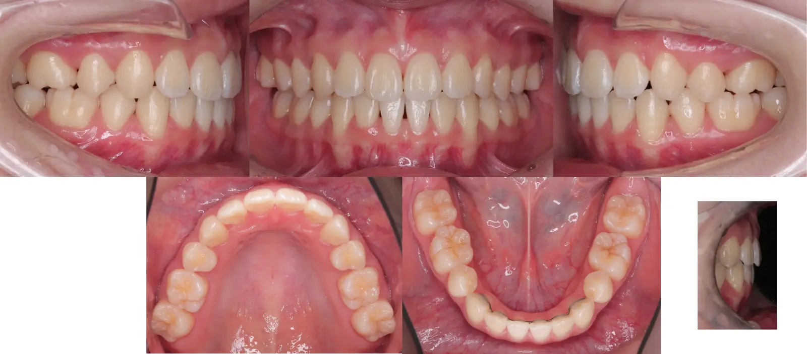
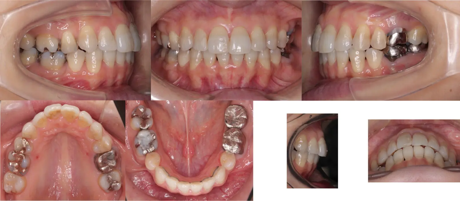
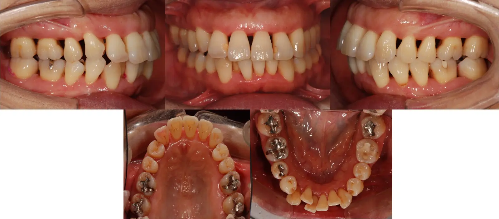
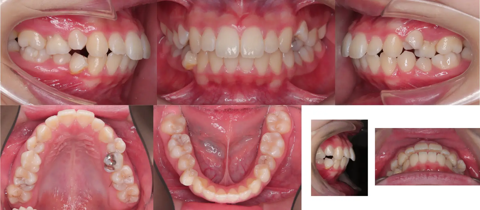
上下顎前突(口ゴボ)
© Hashiba Orthodontic Office, All Rights Reserved.
上下顎前突(口ゴボ)
口元が前に出て全体的に盛り上がって見える
アングルⅡ級、上下顎前突症






- 主訴
前歯が出ている
- 年齢
10代
- 治療期間
2年2ヶ月
- 治療回数
25回
- 治療に用いた主な装置
カスタムメイド型マルチブラケットタイプのデジタル矯正装置(インシグニア)
- 治療費
600,000円(税別)、調整料5,000円(税別)
※伊那分院にて治療
- 抜歯部位
形態不良のため第一小臼歯の代わりに第二小臼歯を抜歯した
- リスク・副作用
1.矯正装置を装着すると、不快感や痛みが生じることがあります。数日間~1週間ほどで痛みが消失し、慣れることが多いです。
2.歯の動き方には個人差があり、予想された治療期間より長引く可能性があります。
3.装置の使用状況、顎間ゴムの使用状況、定期的な通院等、矯正治療には患者さんの協力が重要であり、それらが治療結果や治療期間に影響します。
4.治療中は、装置が付いているため歯が磨きにくくなります。むし歯や歯周病のリスクが高まりますので、丁寧に磨いたり、定期的なメンテナンスを受診することが重要です。また、歯が動くと隠れていたむし歯が見えるようになることもあります。
5.歯を動かすことにより歯根が吸収して短くなることがあります。また、歯ぐきがやせて下がることがあります。歯の形態によっては歯肉と歯の間に黒い三角形(ブラックトライアングル)が生じることがあります。
6.抜歯矯正の場合、歯が内側に入ることによって口唇が内転し、口元や顎に変化が生じることがあります。
7.矯正治療の結果として顔貌に変化を生じますが、個人差があります。一時的に噛めないため頬がこけてしまうこともあります。
8.歯の状態、治療プランによっては上下の歯列の正中線が合わないことがあります。上下の正中線はもともと歯の形態により変わるため、上下の歯列の正中が完全に合う人は50%程度です。(その場合は、上顎正中を可能な限り顔面正中に合わせます)
9.ごくまれに歯が骨と癒着していて歯が動かないことがあります。
10.ごくまれに歯を動かすことで歯の神経が障害を受けて壊死することがあります。
11.治療途中に金属等のアレルギー症状が出ることがあります。
12.治療中に、顎関節で音が鳴る、あごが痛い、口が開けにくいなどの顎関節症状が出ることがあります。
13.様々な問題により、当初予定した治療計画を変更する可能性があります。
14.歯の形を修正したり、咬み合わせの微調整を行ったりする可能性があります。
15.矯正装置を誤飲する可能性があります。
16.装置を外す時に、エナメル質に微小な亀裂が入る可能性や、かぶせ物(補綴物)の一部が破損する可能性があります。
17.装置が外れた後、保定装置を指示通り使用しないでいると、後戻りをする可能性が高くなります。リテーナー(保定装置)の装着が必要です。私たちは治療の基準を高いところにおき、後戻り防止のためにオーバーコレクションという便宜をはかることもあります。
18.装置が外れた後、現在の咬み合わせに合った状態のかぶせ物(補綴物)やむし歯の治療(修復物)などをやりなおす可能性があります。
19.あごの成長発育により、かみ合わせや歯並びが変化する可能性があります。
20.治療後に親知らずが生えて、凸凹が生じる可能性があります。その場合、再治療が必要となることがあります。
21.加齢や歯周病等により歯を支えている骨がやせるとかみ合わせや歯並びが変化することがあります。その場合、再治療が必要となることがあります。
22.矯正歯科治療は、一度始めると元の状態に戻すことは難しくなります。
23.上下の顎のずれ、成長による顎の不調和、治療中の協力が得られなかった場合には、矯正治療のみでは治療不可能となり、外科処置を併用する場合があります。
24.矯正治療には、ほかの治療同様限界があります。歯の状態、骨格、軟組織の状態、習癖や協力度によっては治療目標に達することができない場合があります。最大限の努力はいたしますが、矯正治療には限界があることをご了承ください。
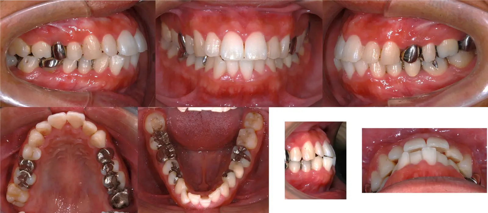
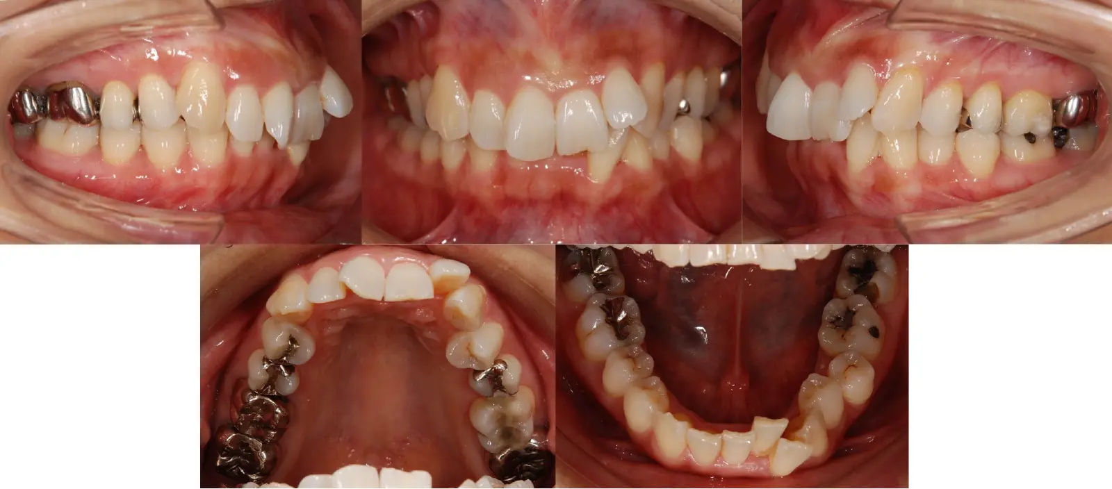
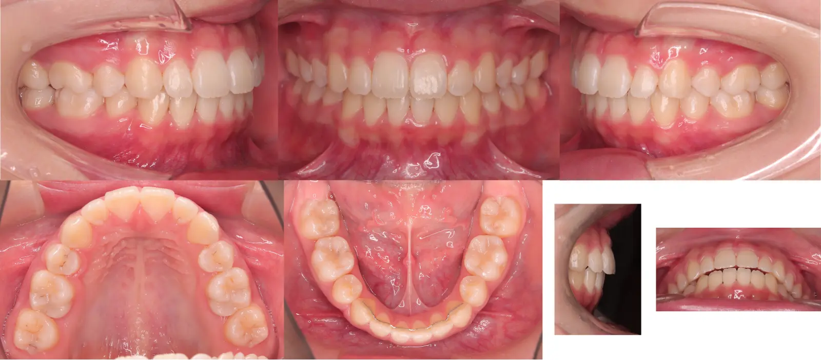
アングルⅡ級 叢生を伴う上下顎前突症





- 主訴
口元の突出感、歯のガタガタ
- 年齢
39歳
- 治療期間
2年9ヶ月
- 治療回数
30回
- 治療に用いた主な装置
カスタムメイド型リンガルブラケット矯正装置(インコグニート)
- 治療費
1,450,000円(税別)トータル料金
- 抜歯部位
上下顎左右第2小臼歯4本
- リスク・副作用
1.矯正装置を装着すると、不快感や痛みが生じることがあります。数日間~1週間ほどで痛みが消失し、慣れることが多いです。
2.歯の動き方には個人差があり、予想された治療期間より長引く可能性があります。
3.装置の使用状況、顎間ゴムの使用状況、定期的な通院等、矯正治療には患者さんの協力が重要であり、それらが治療結果や治療期間に影響します。
4.治療中は、装置が付いているため歯が磨きにくくなります。むし歯や歯周病のリスクが高まりますので、丁寧に磨いたり、定期的なメンテナンスを受診することが重要です。また、歯が動くと隠れていたむし歯が見えるようになることもあります。
5.歯を動かすことにより歯根が吸収して短くなることがあります。また、歯ぐきがやせて下がることがあります。歯の形態によっては歯肉と歯の間に黒い三角形(ブラックトライアングル)が生じることがあります。
6.抜歯矯正の場合、歯が内側に入ることによって口唇が内転し、口元や顎に変化が生じることがあります。
7.矯正治療の結果として顔貌に変化を生じますが、個人差があります。一時的に噛めないため頬がこけてしまうこともあります。
8.歯の状態、治療プランによっては上下の歯列の正中線が合わないことがあります。上下の正中線はもともと歯の形態により変わるため、上下の歯列の正中が完全に合う人は50%程度です。(その場合は、上顎正中を可能な限り顔面正中に合わせます)
9.ごくまれに歯が骨と癒着していて歯が動かないことがあります。
10.ごくまれに歯を動かすことで歯の神経が障害を受けて壊死することがあります。
11.治療途中に金属等のアレルギー症状が出ることがあります。
12.治療中に、顎関節で音が鳴る、あごが痛い、口が開けにくいなどの顎関節症状が出ることがあります。
13.様々な問題により、当初予定した治療計画を変更する可能性があります。
14.歯の形を修正したり、咬み合わせの微調整を行ったりする可能性があります。
15.矯正装置を誤飲する可能性があります。
16.装置を外す時に、エナメル質に微小な亀裂が入る可能性や、かぶせ物(補綴物)の一部が破損する可能性があります。
17.装置が外れた後、保定装置を指示通り使用しないでいると、後戻りをする可能性が高くなります。リテーナー(保定装置)の装着が必要です。私たちは治療の基準を高いところにおき、後戻り防止のためにオーバーコレクションという便宜をはかることもあります。
18.装置が外れた後、現在の咬み合わせに合った状態のかぶせ物(補綴物)やむし歯の治療(修復物)などをやりなおす可能性があります。
19.あごの成長発育により、かみ合わせや歯並びが変化する可能性があります。
20.治療後に親知らずが生えて、凸凹が生じる可能性があります。その場合、再治療が必要となることがあります。
21.加齢や歯周病等により歯を支えている骨がやせるとかみ合わせや歯並びが変化することがあります。その場合、再治療が必要となることがあります。
22.矯正歯科治療は、一度始めると元の状態に戻すことは難しくなります。
23.上下の顎のずれ、成長による顎の不調和、治療中の協力が得られなかった場合には、矯正治療のみでは治療不可能となり、外科処置を併用する場合があります。
24.矯正治療には、ほかの治療同様限界があります。歯の状態、骨格、軟組織の状態、習癖や協力度によっては治療目標に達することができない場合があります。最大限の努力はいたしますが、矯正治療には限界があることをご了承ください。
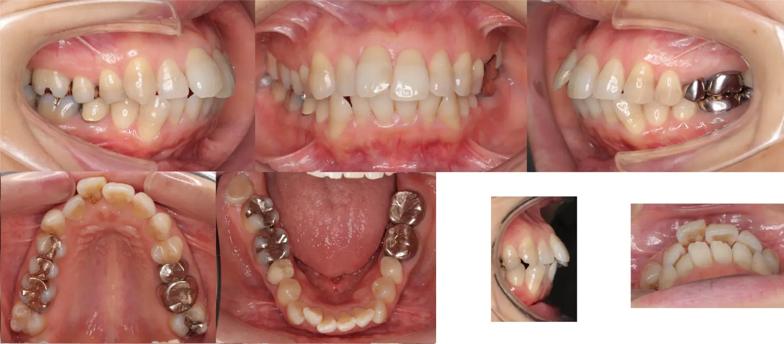
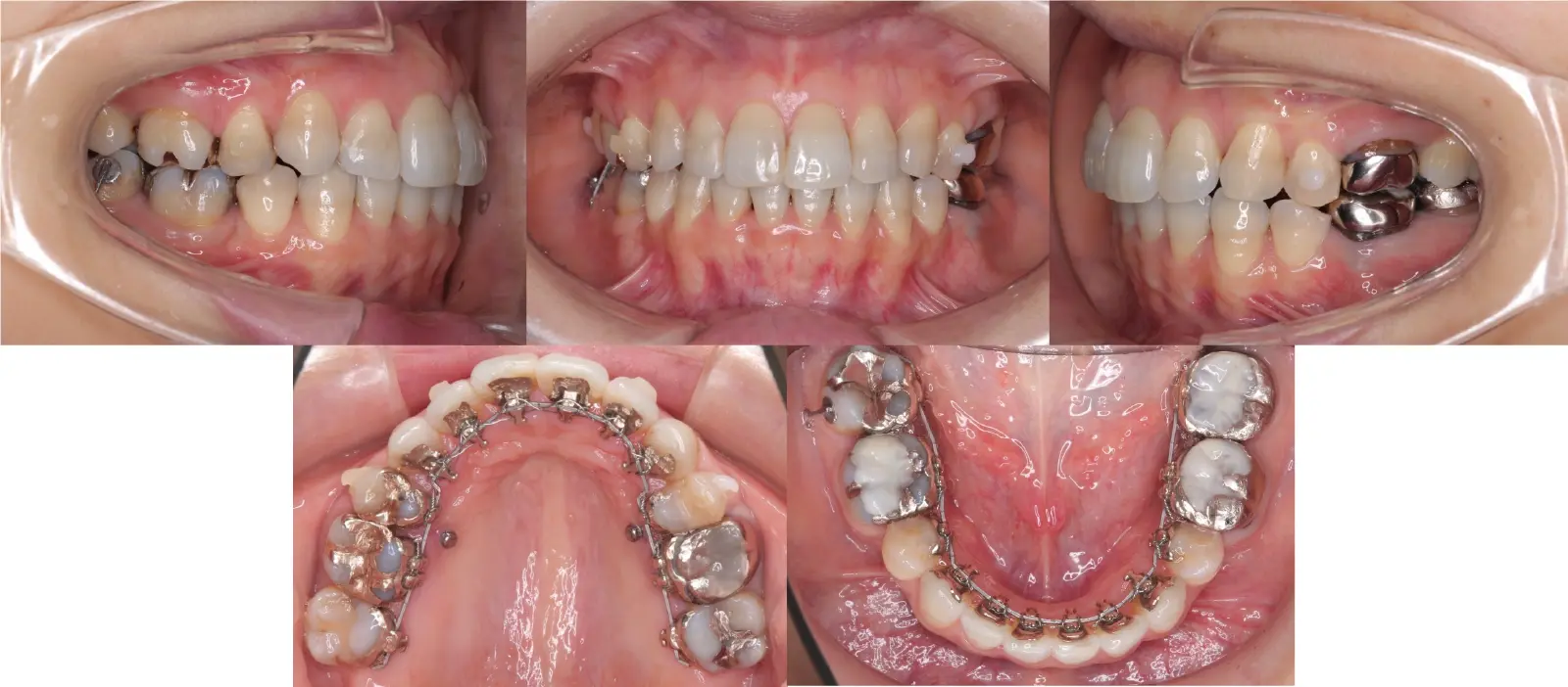
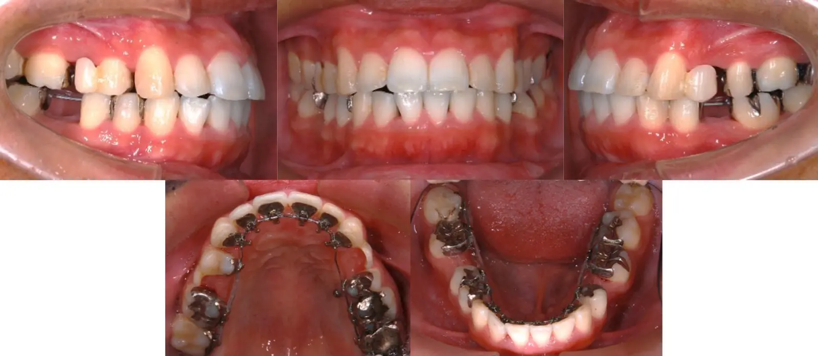
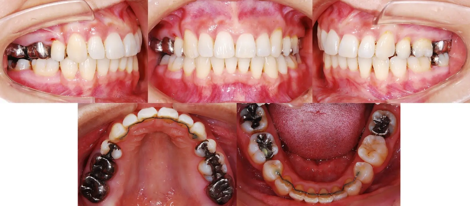
アングルⅡ級、叢生を伴う上下顎前突症





- 主訴
口元の吐出感
- 年齢
27歳
- 治療期間
3年4ヶ月
- 治療回数
30回
- 治療に用いた主な装置
カスタムメイド型リンガルブラケット矯正装置 (インコグニート)
- 治療費
1,450,000円(税別)トータル料金
- 抜歯部位
上顎右側第2小臼歯、上顎左側第2小臼歯、下顎右第2大臼歯、下顎左第2小臼歯
- リスク・副作用
1.矯正装置を装着すると、不快感や痛みが生じることがあります。数日間~1週間ほどで痛みが消失し、慣れることが多いです。
2.歯の動き方には個人差があり、予想された治療期間より長引く可能性があります。
3.装置の使用状況、顎間ゴムの使用状況、定期的な通院等、矯正治療には患者さんの協力が重要であり、それらが治療結果や治療期間に影響します。
4.治療中は、装置が付いているため歯が磨きにくくなります。むし歯や歯周病のリスクが高まりますので、丁寧に磨いたり、定期的なメンテナンスを受診することが重要です。また、歯が動くと隠れていたむし歯が見えるようになることもあります。
5.歯を動かすことにより歯根が吸収して短くなることがあります。また、歯ぐきがやせて下がることがあります。歯の形態によっては歯肉と歯の間に黒い三角形(ブラックトライアングル)が生じることがあります。
6.抜歯矯正の場合、歯が内側に入ることによって口唇が内転し、口元や顎に変化が生じることがあります。
7.矯正治療の結果として顔貌に変化を生じますが、個人差があります。一時的に噛めないため頬がこけてしまうこともあります。
8.歯の状態、治療プランによっては上下の歯列の正中線が合わないことがあります。上下の正中線はもともと歯の形態により変わるため、上下の歯列の正中が完全に合う人は50%程度です。(その場合は、上顎正中を可能な限り顔面正中に合わせます)
9.ごくまれに歯が骨と癒着していて歯が動かないことがあります。
10.ごくまれに歯を動かすことで歯の神経が障害を受けて壊死することがあります。
11.治療途中に金属等のアレルギー症状が出ることがあります。
12.治療中に、顎関節で音が鳴る、あごが痛い、口が開けにくいなどの顎関節症状が出ることがあります。
13.様々な問題により、当初予定した治療計画を変更する可能性があります。
14.歯の形を修正したり、咬み合わせの微調整を行ったりする可能性があります。
15.矯正装置を誤飲する可能性があります。
16.装置を外す時に、エナメル質に微小な亀裂が入る可能性や、かぶせ物(補綴物)の一部が破損する可能性があります。
17.装置が外れた後、保定装置を指示通り使用しないでいると、後戻りをする可能性が高くなります。リテーナー(保定装置)の装着が必要です。私たちは治療の基準を高いところにおき、後戻り防止のためにオーバーコレクションという便宜をはかることもあります。
18.装置が外れた後、現在の咬み合わせに合った状態のかぶせ物(補綴物)やむし歯の治療(修復物)などをやりなおす可能性があります。
19.あごの成長発育により、かみ合わせや歯並びが変化する可能性があります。
20.治療後に親知らずが生えて、凸凹が生じる可能性があります。その場合、再治療が必要となることがあります。
21.加齢や歯周病等により歯を支えている骨がやせるとかみ合わせや歯並びが変化することがあります。その場合、再治療が必要となることがあります。
22.矯正歯科治療は、一度始めると元の状態に戻すことは難しくなります。
23.上下の顎のずれ、成長による顎の不調和、治療中の協力が得られなかった場合には、矯正治療のみでは治療不可能となり、外科処置を併用する場合があります。
24.矯正治療には、ほかの治療同様限界があります。歯の状態、骨格、軟組織の状態、習癖や協力度によっては治療目標に達することができない場合があります。最大限の努力はいたしますが、矯正治療には限界があることをご了承ください。
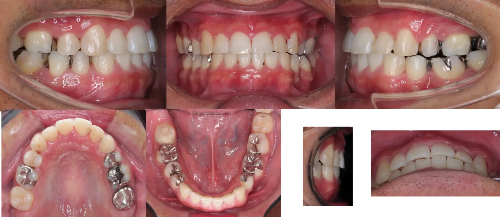
軽度の叢生を伴う上下顎前突症





- 主訴
口元の突出感
- 年齢
20代
- 治療期間
2年
- 治療回数
20回
- 治療に用いた主な装置
カスタムメイド型マルチブラケットタイプのデジタル矯正装置(インシグニア)
i-station(矯正歯科用アンカースクリューとして)
- 治療費
950,000円(税別)トータル料金
- 抜歯部位
上下顎左右第一小臼歯計4本
- リスク・副作用
1.矯正装置を装着すると、不快感や痛みが生じることがあります。数日間~1週間ほどで痛みが消失し、慣れることが多いです。
2.歯の動き方には個人差があり、予想された治療期間より長引く可能性があります。
3.装置の使用状況、顎間ゴムの使用状況、定期的な通院等、矯正治療には患者さんの協力が重要であり、それらが治療結果や治療期間に影響します。
4.治療中は、装置が付いているため歯が磨きにくくなります。むし歯や歯周病のリスクが高まりますので、丁寧に磨いたり、定期的なメンテナンスを受診することが重要です。また、歯が動くと隠れていたむし歯が見えるようになることもあります。
5.歯を動かすことにより歯根が吸収して短くなることがあります。また、歯ぐきがやせて下がることがあります。歯の形態によっては歯肉と歯の間に黒い三角形(ブラックトライアングル)が生じることがあります。
6.抜歯矯正の場合、歯が内側に入ることによって口唇が内転し、口元や顎に変化が生じることがあります。
7.矯正治療の結果として顔貌に変化を生じますが、個人差があります。一時的に噛めないため頬がこけてしまうこともあります。
8.歯の状態、治療プランによっては上下の歯列の正中線が合わないことがあります。上下の正中線はもともと歯の形態により変わるため、上下の歯列の正中が完全に合う人は50%程度です。(その場合は、上顎正中を可能な限り顔面正中に合わせます)
9.ごくまれに歯が骨と癒着していて歯が動かないことがあります。
10.ごくまれに歯を動かすことで歯の神経が障害を受けて壊死することがあります。
11.治療途中に金属等のアレルギー症状が出ることがあります。
12.治療中に、顎関節で音が鳴る、あごが痛い、口が開けにくいなどの顎関節症状が出ることがあります。
13.様々な問題により、当初予定した治療計画を変更する可能性があります。
14.歯の形を修正したり、咬み合わせの微調整を行ったりする可能性があります。
15.矯正装置を誤飲する可能性があります。
16.装置を外す時に、エナメル質に微小な亀裂が入る可能性や、かぶせ物(補綴物)の一部が破損する可能性があります。
17.装置が外れた後、保定装置を指示通り使用しないでいると、後戻りをする可能性が高くなります。リテーナー(保定装置)の装着が必要です。私たちは治療の基準を高いところにおき、後戻り防止のためにオーバーコレクションという便宜をはかることもあります。
18.装置が外れた後、現在の咬み合わせに合った状態のかぶせ物(補綴物)やむし歯の治療(修復物)などをやりなおす可能性があります。
19.あごの成長発育により、かみ合わせや歯並びが変化する可能性があります。
20.治療後に親知らずが生えて、凸凹が生じる可能性があります。その場合、再治療が必要となることがあります。
21.加齢や歯周病等により歯を支えている骨がやせるとかみ合わせや歯並びが変化することがあります。その場合、再治療が必要となることがあります。
22.矯正歯科治療は、一度始めると元の状態に戻すことは難しくなります。
23.上下の顎のずれ、成長による顎の不調和、治療中の協力が得られなかった場合には、矯正治療のみでは治療不可能となり、外科処置を併用する場合があります。
24.矯正治療には、ほかの治療同様限界があります。歯の状態、骨格、軟組織の状態、習癖や協力度によっては治療目標に達することができない場合があります。最大限の努力はいたしますが、矯正治療には限界があることをご了承ください。
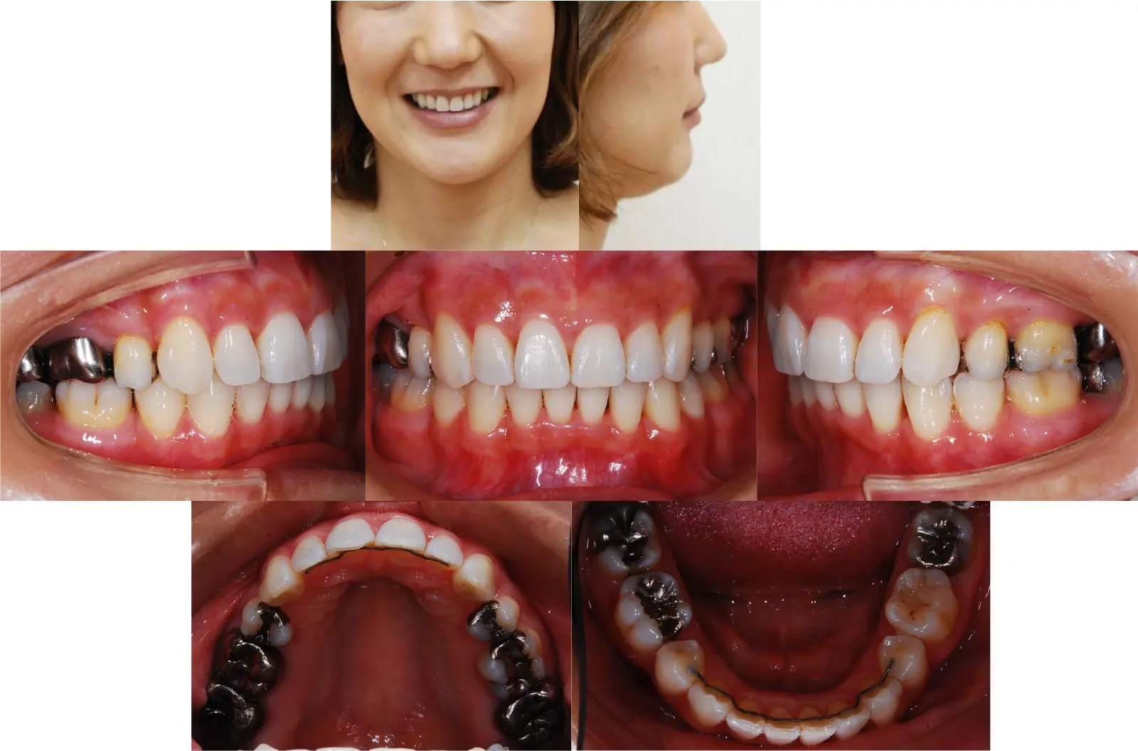
アングルⅡ級 叢生を伴う上下顎前突症




- 主訴
口元の吐出感、歯のガタガタ
- 年齢
40代
- 治療期間
2年5ヶ月
- 治療回数
26回
- 治療に用いた主な装置
カスタムメイド型マルチブラケットタイプのデジタル矯正装置(インシグニア)
- 治療費
1,000,000円(税別)トータル料金
- 抜歯部位
上顎左側第一小臼歯、上顎右側犬歯欠損、下顎左右第一小臼歯2本
- リスク・副作用
1.矯正装置を装着すると、不快感や痛みが生じることがあります。数日間~1週間ほどで痛みが消失し、慣れることが多いです。
2.歯の動き方には個人差があり、予想された治療期間より長引く可能性があります。
3.装置の使用状況、顎間ゴムの使用状況、定期的な通院等、矯正治療には患者さんの協力が重要であり、それらが治療結果や治療期間に影響します。
4.治療中は、装置が付いているため歯が磨きにくくなります。むし歯や歯周病のリスクが高まりますので、丁寧に磨いたり、定期的なメンテナンスを受診することが重要です。また、歯が動くと隠れていたむし歯が見えるようになることもあります。
5.歯を動かすことにより歯根が吸収して短くなることがあります。また、歯ぐきがやせて下がることがあります。歯の形態によっては歯肉と歯の間に黒い三角形(ブラックトライアングル)が生じることがあります。
6.抜歯矯正の場合、歯が内側に入ることによって口唇が内転し、口元や顎に変化が生じることがあります。
7.矯正治療の結果として顔貌に変化を生じますが、個人差があります。一時的に噛めないため頬がこけてしまうこともあります。
8.歯の状態、治療プランによっては上下の歯列の正中線が合わないことがあります。上下の正中線はもともと歯の形態により変わるため、上下の歯列の正中が完全に合う人は50%程度です。(その場合は、上顎正中を可能な限り顔面正中に合わせます)
9.ごくまれに歯が骨と癒着していて歯が動かないことがあります。
10.ごくまれに歯を動かすことで歯の神経が障害を受けて壊死することがあります。
11.治療途中に金属等のアレルギー症状が出ることがあります。
12.治療中に、顎関節で音が鳴る、あごが痛い、口が開けにくいなどの顎関節症状が出ることがあります。
13.様々な問題により、当初予定した治療計画を変更する可能性があります。
14.歯の形を修正したり、咬み合わせの微調整を行ったりする可能性があります。
15.矯正装置を誤飲する可能性があります。
16.装置を外す時に、エナメル質に微小な亀裂が入る可能性や、かぶせ物(補綴物)の一部が破損する可能性があります。
17.装置が外れた後、保定装置を指示通り使用しないでいると、後戻りをする可能性が高くなります。リテーナー(保定装置)の装着が必要です。私たちは治療の基準を高いところにおき、後戻り防止のためにオーバーコレクションという便宜をはかることもあります。
18.装置が外れた後、現在の咬み合わせに合った状態のかぶせ物(補綴物)やむし歯の治療(修復物)などをやりなおす可能性があります。
19.あごの成長発育により、かみ合わせや歯並びが変化する可能性があります。
20.治療後に親知らずが生えて、凸凹が生じる可能性があります。その場合、再治療が必要となることがあります。
21.加齢や歯周病等により歯を支えている骨がやせるとかみ合わせや歯並びが変化することがあります。その場合、再治療が必要となることがあります。
22.矯正歯科治療は、一度始めると元の状態に戻すことは難しくなります。
23.上下の顎のずれ、成長による顎の不調和、治療中の協力が得られなかった場合には、矯正治療のみでは治療不可能となり、外科処置を併用する場合があります。
24.矯正治療には、ほかの治療同様限界があります。歯の状態、骨格、軟組織の状態、習癖や協力度によっては治療目標に達することができない場合があります。最大限の努力はいたしますが、矯正治療には限界があることをご了承ください。
アングルⅡ級2類 過蓋咬合を伴う叢生





- 主訴
歯のガタガタ
- 年齢
30代
- 治療期間
2年4ヶ月
- 治療回数
24回
- 治療に用いた主な装置
ラビアルマルチブラケット装置
- 治療費
820,000円(税別)トータル料金
- 抜歯部位
上顎第2小臼歯、下顎第2小臼歯
- リスク・副作用
1.矯正装置を装着すると、不快感や痛みが生じることがあります。数日間~1週間ほどで痛みが消失し、慣れることが多いです。
2.歯の動き方には個人差があり、予想された治療期間より長引く可能性があります。
3.装置の使用状況、顎間ゴムの使用状況、定期的な通院等、矯正治療には患者さんの協力が重要であり、それらが治療結果や治療期間に影響します。
4.治療中は、装置が付いているため歯が磨きにくくなります。むし歯や歯周病のリスクが高まりますので、丁寧に磨いたり、定期的なメンテナンスを受診することが重要です。また、歯が動くと隠れていたむし歯が見えるようになることもあります。
5.歯を動かすことにより歯根が吸収して短くなることがあります。また、歯ぐきがやせて下がることがあります。歯の形態によっては歯肉と歯の間に黒い三角形(ブラックトライアングル)が生じることがあります。
6.抜歯矯正の場合、歯が内側に入ることによって口唇が内転し、口元や顎に変化が生じることがあります。
7.矯正治療の結果として顔貌に変化を生じますが、個人差があります。一時的に噛めないため頬がこけてしまうこともあります。
8.歯の状態、治療プランによっては上下の歯列の正中線が合わないことがあります。上下の正中線はもともと歯の形態により変わるため、上下の歯列の正中が完全に合う人は50%程度です。(その場合は、上顎正中を可能な限り顔面正中に合わせます)
9.ごくまれに歯が骨と癒着していて歯が動かないことがあります。
10.ごくまれに歯を動かすことで歯の神経が障害を受けて壊死することがあります。
11.治療途中に金属等のアレルギー症状が出ることがあります。
12.治療中に、顎関節で音が鳴る、あごが痛い、口が開けにくいなどの顎関節症状が出ることがあります。
13.様々な問題により、当初予定した治療計画を変更する可能性があります。
14.歯の形を修正したり、咬み合わせの微調整を行ったりする可能性があります。
15.矯正装置を誤飲する可能性があります。
16.装置を外す時に、エナメル質に微小な亀裂が入る可能性や、かぶせ物(補綴物)の一部が破損する可能性があります。
17.装置が外れた後、保定装置を指示通り使用しないでいると、後戻りをする可能性が高くなります。リテーナー(保定装置)の装着が必要です。私たちは治療の基準を高いところにおき、後戻り防止のためにオーバーコレクションという便宜をはかることもあります。
18.装置が外れた後、現在の咬み合わせに合った状態のかぶせ物(補綴物)やむし歯の治療(修復物)などをやりなおす可能性があります。
19.あごの成長発育により、かみ合わせや歯並びが変化する可能性があります。
20.治療後に親知らずが生えて、凸凹が生じる可能性があります。その場合、再治療が必要となることがあります。
21.加齢や歯周病等により歯を支えている骨がやせるとかみ合わせや歯並びが変化することがあります。その場合、再治療が必要となることがあります。
22.矯正歯科治療は、一度始めると元の状態に戻すことは難しくなります。
23.上下の顎のずれ、成長による顎の不調和、治療中の協力が得られなかった場合には、矯正治療のみでは治療不可能となり、外科処置を併用する場合があります。
24.矯正治療には、ほかの治療同様限界があります。歯の状態、骨格、軟組織の状態、習癖や協力度によっては治療目標に達することができない場合があります。最大限の努力はいたしますが、矯正治療には限界があることをご了承ください。
先天的欠如歯と軽度の叢生を伴う上下顎前突症





- 主訴
永久歯の欠損
- 年齢
10代
- 治療期間
2年2か月
- 治療回数
25回
- 治療に用いた主な装置
カスタムメイド型マルチブラケットタイプのデジタル矯正装置(インシグニア)
- 治療費
750,000円(税別)、調整料5000円(税別)
※伊那分院にて治療
- 抜歯部位
上顎左右第2乳臼歯(第2小臼歯が先天的に欠損)、下顎左側第2小臼歯抜歯、下顎右側第1小臼歯抜歯
- リスク・副作用
1.矯正装置を装着すると、不快感や痛みが生じることがあります。数日間~1週間ほどで痛みが消失し、慣れることが多いです。
2.歯の動き方には個人差があり、予想された治療期間より長引く可能性があります。
3.装置の使用状況、顎間ゴムの使用状況、定期的な通院等、矯正治療には患者さんの協力が重要であり、それらが治療結果や治療期間に影響します。
4.治療中は、装置が付いているため歯が磨きにくくなります。むし歯や歯周病のリスクが高まりますので、丁寧に磨いたり、定期的なメンテナンスを受診することが重要です。また、歯が動くと隠れていたむし歯が見えるようになることもあります。
5.歯を動かすことにより歯根が吸収して短くなることがあります。また、歯ぐきがやせて下がることがあります。歯の形態によっては歯肉と歯の間に黒い三角形(ブラックトライアングル)が生じることがあります。
6.抜歯矯正の場合、歯が内側に入ることによって口唇が内転し、口元や顎に変化が生じることがあります。
7.矯正治療の結果として顔貌に変化を生じますが、個人差があります。一時的に噛めないため頬がこけてしまうこともあります。
8.歯の状態、治療プランによっては上下の歯列の正中線が合わないことがあります。上下の正中線はもともと歯の形態により変わるため、上下の歯列の正中が完全に合う人は50%程度です。(その場合は、上顎正中を可能な限り顔面正中に合わせます)
9.ごくまれに歯が骨と癒着していて歯が動かないことがあります。
10.ごくまれに歯を動かすことで歯の神経が障害を受けて壊死することがあります。
11.治療途中に金属等のアレルギー症状が出ることがあります。
12.治療中に、顎関節で音が鳴る、あごが痛い、口が開けにくいなどの顎関節症状が出ることがあります。
13.様々な問題により、当初予定した治療計画を変更する可能性があります。
14.歯の形を修正したり、咬み合わせの微調整を行ったりする可能性があります。
15.矯正装置を誤飲する可能性があります。
16.装置を外す時に、エナメル質に微小な亀裂が入る可能性や、かぶせ物(補綴物)の一部が破損する可能性があります。
17.装置が外れた後、保定装置を指示通り使用しないでいると、後戻りをする可能性が高くなります。リテーナー(保定装置)の装着が必要です。私たちは治療の基準を高いところにおき、後戻り防止のためにオーバーコレクションという便宜をはかることもあります。
18.装置が外れた後、現在の咬み合わせに合った状態のかぶせ物(補綴物)やむし歯の治療(修復物)などをやりなおす可能性があります。
19.あごの成長発育により、かみ合わせや歯並びが変化する可能性があります。
20.治療後に親知らずが生えて、凸凹が生じる可能性があります。その場合、再治療が必要となることがあります。
21.加齢や歯周病等により歯を支えている骨がやせるとかみ合わせや歯並びが変化することがあります。その場合、再治療が必要となることがあります。
22.矯正歯科治療は、一度始めると元の状態に戻すことは難しくなります。
23.上下の顎のずれ、成長による顎の不調和、治療中の協力が得られなかった場合には、矯正治療のみでは治療不可能となり、外科処置を併用する場合があります。
24.矯正治療には、ほかの治療同様限界があります。歯の状態、骨格、軟組織の状態、習癖や協力度によっては治療目標に達することができない場合があります。最大限の努力はいたしますが、矯正治療には限界があることをご了承ください。